Home Members Contact Blog

OkekeLab Blog

Phyllosphere bacteria: Nature's most beautiful elements hidden in plain sight

Author: Erkison Ewomazino Odih |

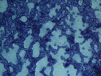
For anyone who has heard one thing about microorganisms or Microbiology in general, it is most likely the fact that microorganisms are all around us and occupy virtually every niche. This was the primary hypothesis of our PHM 712 Advanced Laboratory Course research at the University of Ibadan, Ibadan, Nigeria. The study was designed to investigate the bacterial community in the phyllosphere (leaves) of Ficus exasperata. One of our hypotheses prior to this study was that Ficus exasperata leaves contained antimicrobial substances that would determine its the bacterial composition of colonizing bacteria and that any bacterium found on these leaves would possess some form of resistance to the said antimicrobial substances. As part of the study, we decided to investigate the bacterial population of Ficus exasperata leaves that could be cultured in the laboratory.

relevant article image goes here

Phyllosphere bacteria: Nature's most beautiful elements hidden in plain sight

Author: Erkison Ewomazino Odih |

For anyone who has heard one thing about microorganisms or Microbiology in general, it is most likely the fact that microorganisms are all around us and occupy virtually every niche. This was the primary hypothesis of our PHM 712 Advanced Laboratory Course research at the University of Ibadan, Ibadan, Nigeria. The study was designed to investigate the bacterial community in the phyllosphere (leaves) of Ficus exasperata. One of our hypotheses prior to this study was that Ficus exasperata leaves contained antimicrobial substances that would determine its the bacterial composition of colonizing bacteria and that any bacterium found on these leaves would possess some form of resistance to the said antimicrobial substances. As part of the study, we decided to investigate the bacterial population of Ficus exasperata leaves that could be cultured in the laboratory.

relevant article image goes here

Phyllosphere bacteria: Nature's most beautiful elements hidden in plain sight

Author: Erkison Ewomazino Odih |

For anyone who has heard one thing about microorganisms or Microbiology in general, it is most likely the fact that microorganisms are all around us and occupy virtually every niche. This was the primary hypothesis of our PHM 712 Advanced Laboratory Course research at the University of Ibadan, Ibadan, Nigeria. The study was designed to investigate the bacterial community in the phyllosphere (leaves) of Ficus exasperata. One of our hypotheses prior to this study was that Ficus exasperata leaves contained antimicrobial substances that would determine its the bacterial composition of colonizing bacteria and that any bacterium found on these leaves would possess some form of resistance to the said antimicrobial substances. As part of the study, we decided to investigate the bacterial population of Ficus exasperata leaves that could be cultured in the laboratory.

relevant article image goes here

Phyllosphere bacteria: Nature's most beautiful elements hidden in plain sight

Author: Erkison Ewomazino Odih |

For anyone who has heard one thing about microorganisms or Microbiology in general, it is most likely the fact that microorganisms are all around us and occupy virtually every niche. This was the primary hypothesis of our PHM 712 Advanced Laboratory Course research at the University of Ibadan, Ibadan, Nigeria. The study was designed to investigate the bacterial community in the phyllosphere (leaves) of Ficus exasperata. One of our hypotheses prior to this study was that Ficus exasperata leaves contained antimicrobial substances that would determine its the bacterial composition of colonizing bacteria and that any bacterium found on these leaves would possess some form of resistance to the said antimicrobial substances. As part of the study, we decided to investigate the bacterial population of Ficus exasperata leaves that could be cultured in the laboratory.

relevant article image goes here

Sign up to receive OkekeLab's blog posts by email here!